ITA | ENG | FRA

risultati concreti

Storie di Successo e Soluzioni Definite

Ogni caso che affrontiamo è unico. Qui raccontiamo alcune storie di pazienti che hanno scelto lo Studio Sidoti per risolvere problemi complessi. Protagonisti, problemi affrontati, soluzioni adottate e risultati ottenuti.

Ortodonzia invisibile
Ortodonzia con mascherine trasparenti

Ortodonzia invisibile

Paziente: Donna, 17 anni

Vedi il caso
Faccette dirette con tecnica Flow Injection
Odontoiatria estetica

Faccette dirette con tecnica Flow Injection

Uomo di 65 anni, lavoratore autonomo. interazione con molte persone, orari e luoghi di lavoro variabili

Vedi il caso
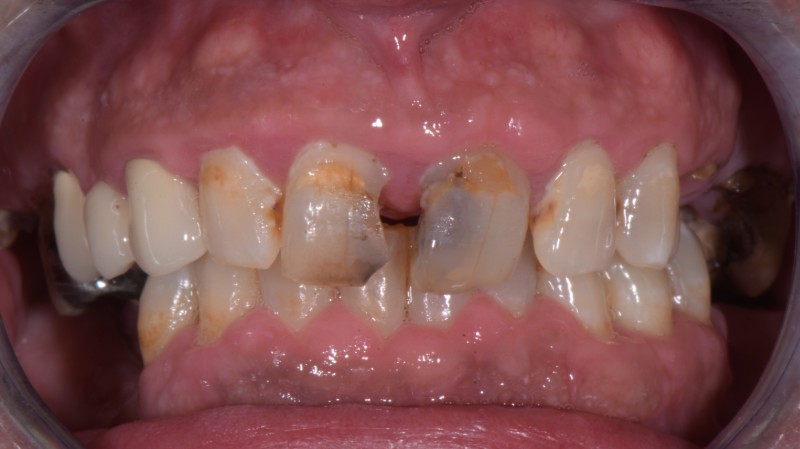
Recupero protesico e funzionale di paziente fobico
Protesi fissa e mobile

Recupero protesico e funzionale di paziente fobico

Paziente maschio 42 anni fobico numerosi denti assenti e altrettanti compromessi.

Vedi il caso
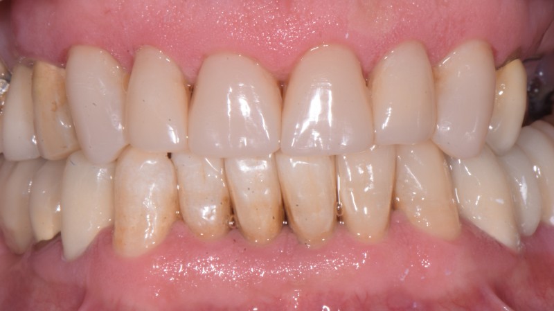
Riabilitazione dentatura fortemente abrasa con corone e intarsi
Protesi fissa e mobile

Riabilitazione dentatura fortemente abrasa con corone e intarsi

Paziente: Uomo, 76 anni | Durata trattamento: 6 mesi

Vedi il caso
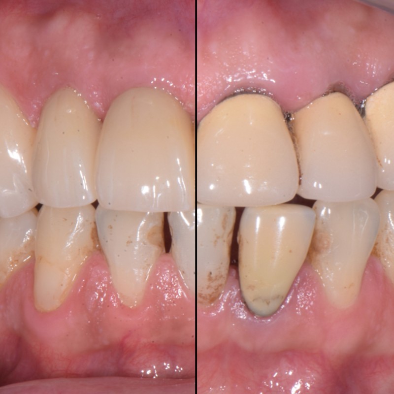
Rifacimento corone non congrue
Protesi fissa e mobile

Rifacimento corone non congrue

Uomo 53 anni fumatore

Vedi il caso
Impianto in zona estetica
Implantologia

Impianto in zona estetica

Uomo 45 anni non fumatore buone condizioni di salute, buona igiene orale

Vedi il caso

testimonianze

Cosa dicono i nostri pazienti

La fiducia dei nostri pazienti è la base della nostra reputazione. Ascoltiamo chi ha scelto lo Studio Sidoti per risolvere problemi complessi.

4.9/5

Valutazione media dei nostri pazienti

  • per l'eccellenza del servizio

"Esperienza eccellente e risultati definitivi."

M

Mario R.

Riabilitazione complessa

"Team competente e accogliente."

P

Paolo S.

Caso complesso

"Sono molto contento del servizio ricevuto, ambiente molto cordiale e ottimo prezzo. Consigliatissimo!"

F

Fabio Baudetto

Paziente

"In tanti anni mi sono trovata sempre bene ho trovato soluzioni e risparmio e poi sono tutti cortesi consigliatissimo!"

E

Ezio Giuliani

Paziente

"Conosco e frequento lo studio Sidoti da 20 anni, ho piena fiducia nei dottori e collaboratori . Lo consiglio sempre a chi mi chiede un parere"

S

Stefania Taricco

Paziente

"Contentissima di aver risolto con il dottor Michele i miei problemi: mi ha ridato funzionalità e sorriso. Staff eccellente."

L

Liliana Quagliotti

Paziente

Soluzioni dentali definitive per problemi complessi

Da oltre trent'anni aiutiamo pazienti con situazioni difficili a ritrovare stabilità, funzionalità e sicurezza.

  • 30 anni di esperienza
  • Eccellenza clinica garantita dalla famiglia Sidoti

Prenota una visita

Compila il modulo per prenotare la tua prima visita

Inviando questo modulo acconsenti al trattamento dei tuoi dati personali, che saranno utilizzati esclusivamente per gestire la tua richiesta, in conformità con la nostra Privacy Policy.