ITA | ENG | FRA

Soluzioni dentali definitive per problemi complessi

Da oltre trent'anni in Val di Susa: aiutiamo pazienti con situazioni difficili a ritrovare stabilità, funzionalità e sicurezza.

  • 30 anni di esperienza
  • Eccellenza clinica garantita dalla famiglia Sidoti

Prenota una visita

Compila il modulo per prenotare la tua prima visita

Inviando questo modulo acconsenti al trattamento dei tuoi dati personali, che saranno utilizzati esclusivamente per gestire la tua richiesta, in conformità con la nostra Privacy Policy.

Questo è per te se

Hai un problema che si trascina da anni?

Siamo lo studio giusto per chi deve risolvere, non per chi vuole rimandare. Se hai già provato altre soluzioni senza risultati, qui trovi un percorso completo e definitivo.

  • Hai un problema che si trascina da anni
  • Hai già provato altre soluzioni senza risultati
  • Cerchi un percorso completo, non un intervento veloce
  • Vuoi una soluzione definitiva, non temporanea

Hai bisogno di aiuto?

011.93.99.282 / +39.349.31.56.732

Orari di apertura

Lun-Ven: 9:00 - 19:00
Sabato: 9:00 - 13:00

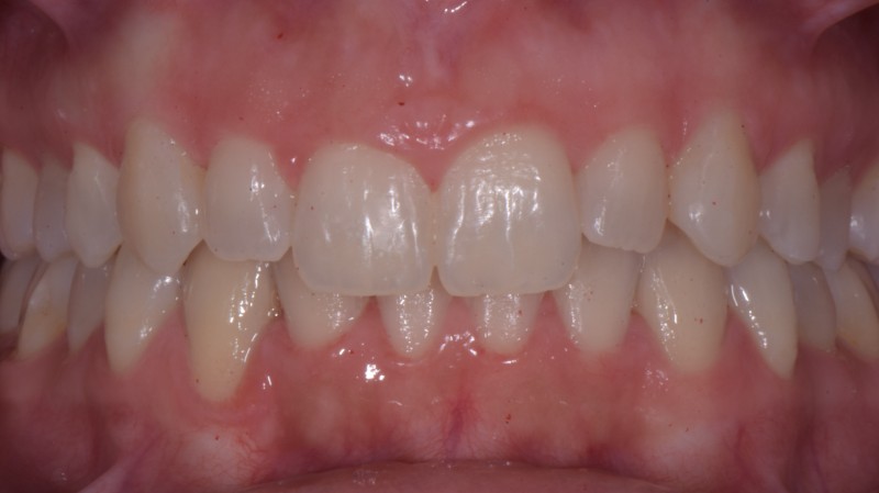
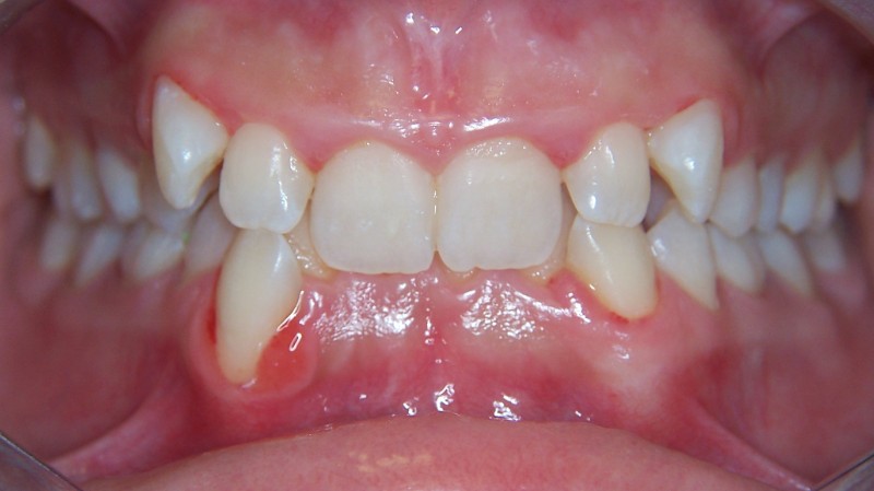
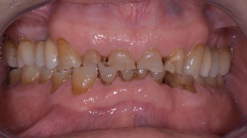
Casi studio

Prima e dopo il trattamento

Trascina il cursore per confrontare il risultato ottenuto.

Dopo il trattamento Prima del trattamento
Ortodonzia con mascherine trasparenti

Ortodonzia invisibile

Paziente: Donna, 17 anni

Cosa risolviamo

Soluzioni definitive per problemi complessi

Specializzati in riabilitazioni complesse e casi già trattati altrove senza successo.

Igiene orale

Visite periodiche e igiene professionale per prevenire placca, tartaro e patologie gengivali, proteggendo la salute della bocca e dell’organismo.

Ortodonzia

L’ortodonzia corregge il mal posizionamento dei denti migliorando estetica, funzione e comfort, con soluzioni per bambini e adulti, anche invisibili.

Protesi fissa e mobile

Protesi fisse e mobili su misura per ripristinare estetica e funzione, con soluzioni rapide, materiali avanzati e riabilitazioni complete anche in 24 ore.

Implantologia

L’implantologia permette di sostituire denti mancanti con protesi fisse, evitando dentiere e ponti, grazie a soluzioni personalizzate e tecnologie avanzate.

Visita lo studio

Scopri il nostro approccio alla cura dentale

30+

anni di esperienza

Trent'anni dedicati a risolvere problemi complessi con soluzioni definitive e durature.

3.5K+

riabilitazioni complesse

Riabilitazioni complesse completate con successo, progettate per durare nel tempo.

8.5K+

pazienti soddisfatti

Pazienti che hanno ritrovato stabilità, funzionalità e sicurezza nel loro sorriso.

2+

specialisti esperti

La famiglia Sidoti e il team dedicato, uniti da un'unica missione: risolvere.

Perché scegliere Studio Sidoti

30 anni di esperienza si vedono eccome

Eccellenza clinica garantita dalla famiglia Sidoti. Tecnologia avanzata, attenzione personalizzata.

30 anni di esperienza

Una famiglia, trent'anni di esperienza, un'unica responsabilità: risolvere.

Tecnologia avanzata

Scanner 3D, progettazione digitale, controllo dell'occlusione computerizzato.

Rapporto umano diretto

Gestione familiare che assicura la massima garanzia personale e tranquillità.

Perché scegliere Studio Dentistico Sidoti

Rapidità nelle urgenze

Interventi tempestivi quando serve, con la stessa attenzione alla qualità.

Risultati stabili e duraturi

Non lavoriamo con soluzioni temporanee. Il nostro obiettivo è risolvere in modo stabile.

La tua fiducia è la nostra reputazione

Ci prendiamo cura del tuo sorriso come se fosse il nostro.

Il metodo dello Studio Dentistico Sidoti - Avigliana

Il nostro metodo

La tecnologia è un mezzo: il fine è una soluzione definitiva

Diagnosi con scanner 3D, progettazione digitale, controllo dell'occlusione computerizzato. Ogni strumento serve a garantirti il miglior risultato possibile.

Una diagnosi precisa è il primo passo per una soluzione definitiva. Lo scanner 3D ci permette di vedere ogni dettaglio e pianificare il trattamento migliore per te.

Progettiamo digitalmente ogni intervento prima di eseguirlo, garantendo precisione e risultati prevedibili. Tu vedi il risultato prima ancora di iniziare.

Il controllo computerizzato dell'occlusione garantisce che ogni lavoro sia perfettamente bilanciato, evitando problemi futuri e garantendo comfort duraturo.

Studio Sidoti

Una famiglia, trent'anni di esperienza

Un'unica responsabilità: risolvere. Con competenza, tecnologia e un rapporto umano diretto.

Testimonianze

La tua fiducia è la nostra reputazione

Ascolta cosa dicono i nostri pazienti che hanno risolto problemi complessi con noi.

Riabilitazione dentale complessa - Studio Sidoti Avigliana

4.9/5

Valutazione media dei nostri pazienti

  • per l'eccellenza del servizio

"Esperienza eccellente e risultati definitivi."

M

Mario R.

Riabilitazione complessa

"Team competente e accogliente."

P

Paolo S.

Caso complesso

"Sono molto contento del servizio ricevuto, ambiente molto cordiale e ottimo prezzo. Consigliatissimo!"

F

Fabio Baudetto

Paziente

"In tanti anni mi sono trovata sempre bene ho trovato soluzioni e risparmio e poi sono tutti cortesi consigliatissimo!"

E

Ezio Giuliani

Paziente

"Conosco e frequento lo studio Sidoti da 20 anni, ho piena fiducia nei dottori e collaboratori . Lo consiglio sempre a chi mi chiede un parere"

S

Stefania Taricco

Paziente

"Contentissima di aver risolto con il dottor Michele i miei problemi: mi ha ridato funzionalità e sorriso. Staff eccellente."

L

Liliana Quagliotti

Paziente

Approfondimenti

Informazioni utili per la tua salute dentale

Articoli e approfondimenti su riabilitazioni complesse, implantologia e cura del sorriso.

Curare una carie: tutto quello che c’è da sapere

Curare una carie: tutto quello che c’è da sapere

Ecco tutto quello che devi conoscere prima di andare dal dentista per curare una carie.

Leggi di più
Recupero protesico

Recupero protesico

Il recupero protesico con approccio conometrico è etico, economico ed ecologico.

Leggi di più
Dentiera fissa su impianti

Dentiera fissa su impianti

Quando le protesi mobili non soddisfano più i requisiti minimi per una masticazione e una vita sociale soddisfacente, si può valutare una trasformazione in una soluzione fissa.

Leggi di più

Contatti

Prenota una consulenza gratuita

Viale Gandhi, 7
10051 - Avigliana (TO)

Lun-Ven: 9:00 - 19:00
Sabato: 9:00 - 13:00
Domenica: Chiuso