ITA | ENG | FRA

caso trattato

Ortodonzia invisibile

confronto visivo

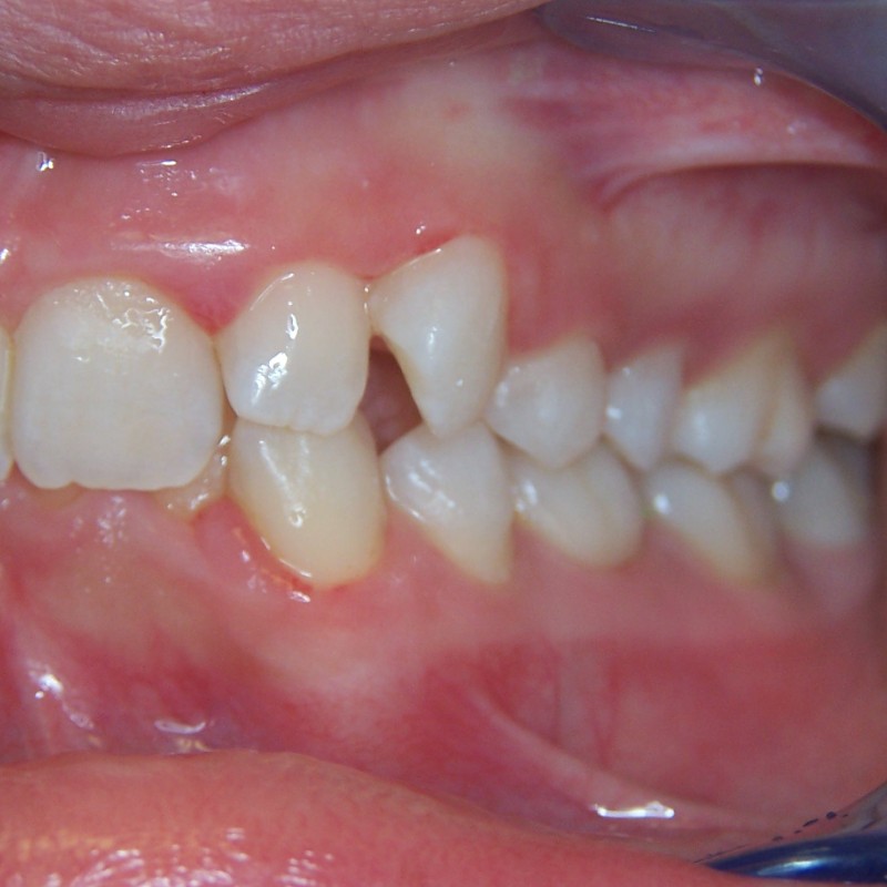
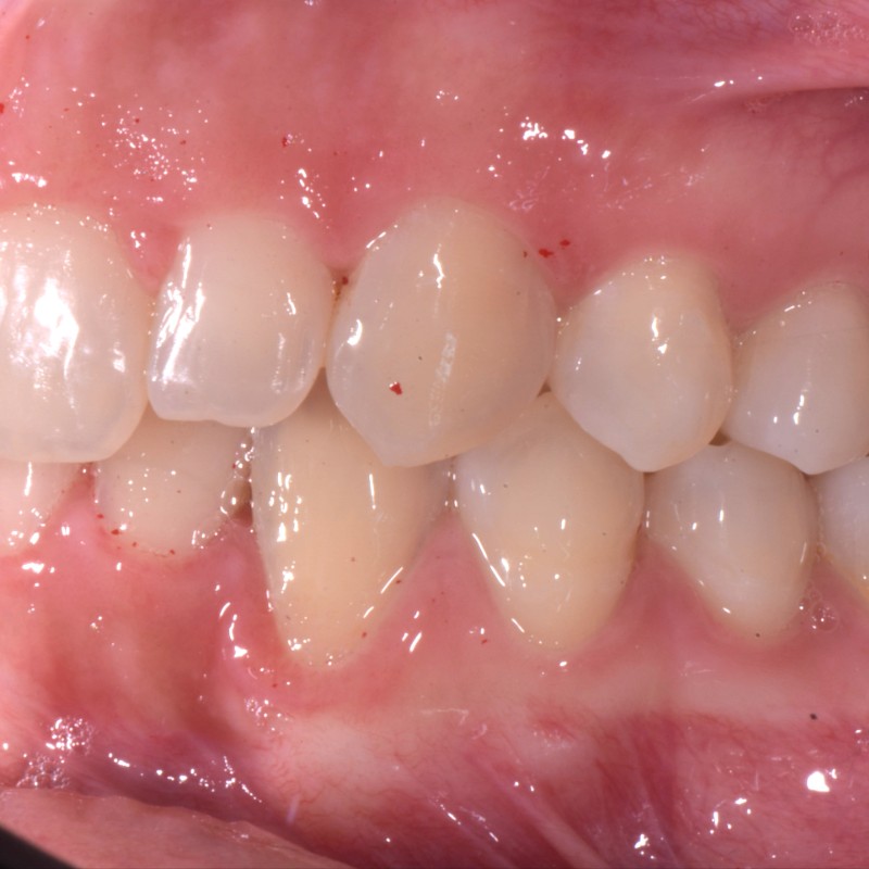
Prima e Dopo il Trattamento

Trascina il cursore per confrontare il risultato ottenuto

Dopo il trattamento Prima del trattamento
Ortodonzia con mascherine trasparenti

Ortodonzia invisibile

Paziente: Donna, 17 anni

Il Problema

Morso profondo e grave affollamento.
Gli altri specialisti consideravano impossibile risolvere il problema escludendo estrazioni/interventi chirurgici.

La Soluzione

Terapia con mascherine trasparenti Invisalign + contenzione notturna.
1 anno e mezzo di trattamento.

  • -Presa impronta con apparecchiatura digitale.
  • -programamzione con distalizzazione di molari superiori e applicazione di bite-ramp per risolvere il morso profondo.
  • -contenzioni notturne finali.

I Risultati

La paziente gode soddisfatta di un ottimo sorriso stabile a 5 anni di distanza

Dott. Gian Franco Sidoti

Ha eseguito il caso ‘Ortodonzia invisibile’

Dott. Gian Franco Sidoti

ODONTOIATRA

Scopri di più sul Dott. Sidoti



Soluzioni dentali definitive per problemi complessi

Da oltre trent'anni aiutiamo pazienti con situazioni difficili a ritrovare stabilità, funzionalità e sicurezza.

  • 30 anni di esperienza
  • Eccellenza clinica garantita dalla famiglia Sidoti

Prenota una visita

Compila il modulo per prenotare la tua prima visita

Inviando questo modulo acconsenti al trattamento dei tuoi dati personali, che saranno utilizzati esclusivamente per gestire la tua richiesta, in conformità con la nostra Privacy Policy.