ITA | ENG | FRA
Ortodonzia

Ortodonzia

L’ortodonzia corregge il mal posizionamento dei denti migliorando estetica, funzione e comfort, con soluzioni per bambini e adulti, anche invisibili.

L’ortodonzia si occupa della correzione del mal posizionamento dei denti e delle alterazioni della chiusura dentale. Non è solo una questione estetica: un allineamento corretto migliora la funzione masticatoria, la distribuzione delle forze e il benessere generale dell’apparato stomatognatico.

Una chiusura scorretta può influire negativamente su postura, tensioni muscolari e articolazioni. Correggerla significa intervenire su un equilibrio che coinvolge non solo la bocca, ma l’intero sistema corporeo.

Ci occupiamo di ortodonzia nei bambini attraverso trattamenti intercettivi, fondamentali per guidare correttamente la crescita delle ossa mascellari e prevenire problemi più complessi in età adulta. Intervenire presto permette spesso terapie più semplici ed efficaci.

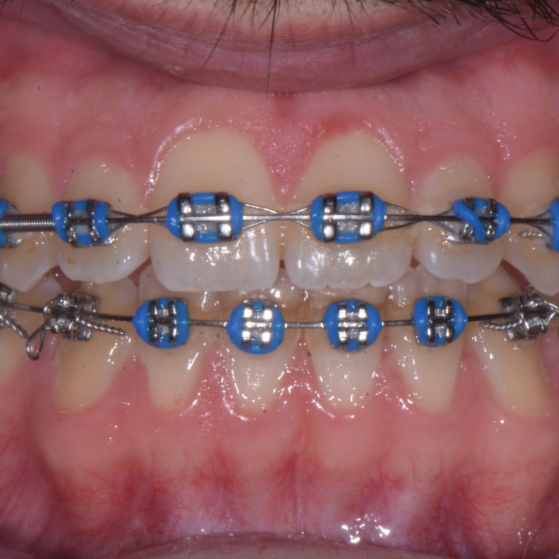
Per gli adulti proponiamo soluzioni moderne e discrete. Gli apparecchi invisibili consentono di allineare i denti in modo progressivo, confortevole e quasi impercettibile, senza stravolgere la vita quotidiana. In alternativa, l’ortodonzia fissa con brackets in ceramica rappresenta una soluzione efficace e dall’impatto estetico contenuto, adatta a qualsiasi età.

Ogni trattamento viene studiato su misura, partendo da un’analisi accurata della situazione clinica e degli obiettivi del paziente. L’obiettivo non è solo ottenere denti dritti, ma costruire un sorriso funzionale, stabile e duraturo nel tempo.

Casi trattati correlati

Soluzioni dentali definitive per problemi complessi

Da oltre trent'anni aiutiamo pazienti con situazioni difficili a ritrovare stabilità, funzionalità e sicurezza.

  • 30 anni di esperienza
  • Eccellenza clinica garantita dalla famiglia Sidoti

Prenota una visita

Compila il modulo per prenotare la tua prima visita

Inviando questo modulo acconsenti al trattamento dei tuoi dati personali, che saranno utilizzati esclusivamente per gestire la tua richiesta, in conformità con la nostra Privacy Policy.