ITA | ENG | FRA

caso trattato

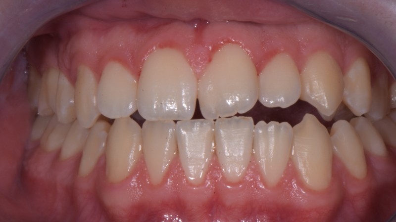
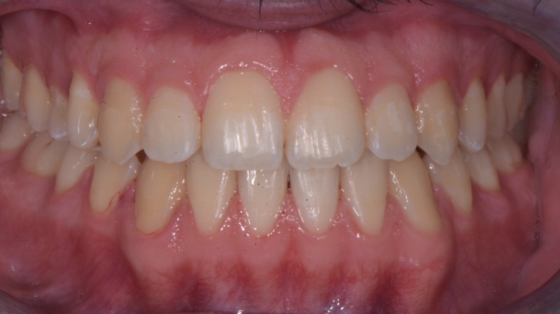
Allineamento dentale senza chirurgia di un paziente potenziale chirurgico

confronto visivo

Prima e Dopo il Trattamento

Trascina il cursore per confrontare il risultato ottenuto

Dopo il trattamento Prima del trattamento
Ortodonzia

Allineamento dentale senza chirurgia di un paziente potenziale chirurgico

Paziente: Uomo, 18 anni

Il Problema

Il paziente non era soddisfatto del suo sorriso e dello spazio tra le arcate, era convinto che risolvere il suo problema avrebbe avuto bisogno di un intervento chirurgico.
Questa sua condizione creava disagi nel masticare, oltre che l'aspetto estetico.

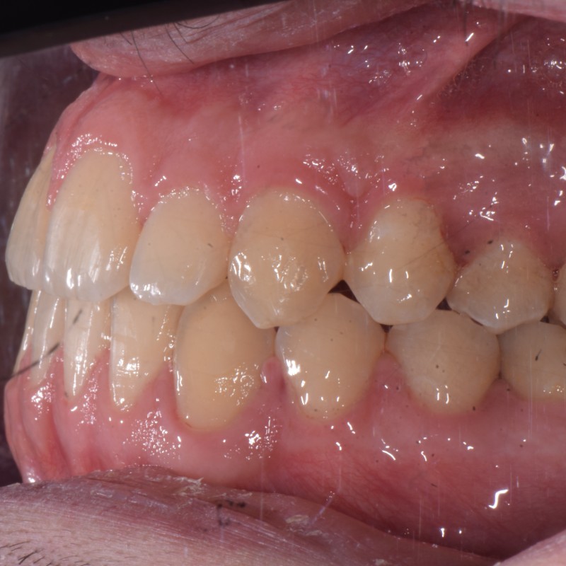
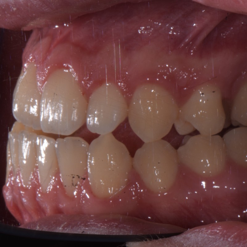
La Soluzione

Abbiamo intrapreso un percorso di terapia ortodontica fissa, risolvendo la sua malocclusione, raggiungendo l'obbiettivo di una occlusione ideale e permettendo al paziente di masticare correttamente da entrambi i lati e di ottenere il sorriso che aveva sempre sognato.

  • studio del caso con rilevazione impronte digitali

I Risultati

Abbiamo raggiunto i nostri obbiettivi, risolvendo così l'affollamento e l'allineamento, garantendo una chiusura corretta (regalando al paziente un sorriso ampio).
Così facendo, insieme, abbiamo evitato un possibile intervento chirurgico.

Dott.ssa Antea Dido

Ha eseguito il caso ‘Allineamento dentale senza chirurgia di un paziente potenziale chirurgico’

Dott.ssa Antea Dido

ODONTOIATRA

Scopri di più sul Dott. Dido



Soluzioni dentali definitive per problemi complessi

Da oltre trent'anni aiutiamo pazienti con situazioni difficili a ritrovare stabilità, funzionalità e sicurezza.

  • 30 anni di esperienza
  • Eccellenza clinica garantita dalla famiglia Sidoti

Prenota una visita

Compila il modulo per prenotare la tua prima visita

Inviando questo modulo acconsenti al trattamento dei tuoi dati personali, che saranno utilizzati esclusivamente per gestire la tua richiesta, in conformità con la nostra Privacy Policy.