ITA | ENG | FRA

caso trattato

Impianto in zona estetica

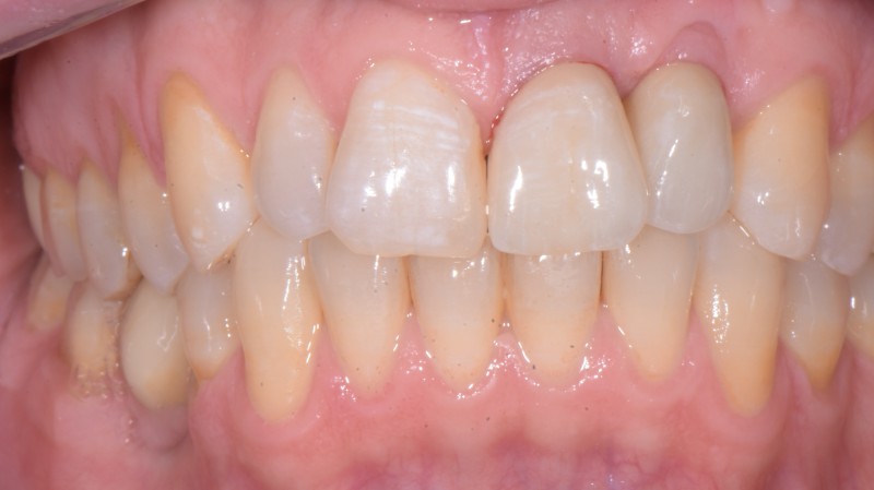
confronto visivo

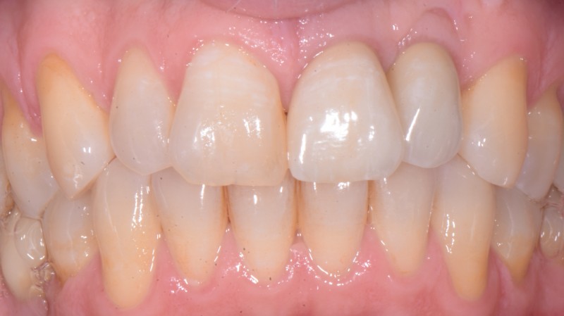
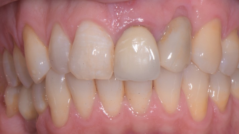
Prima e Dopo il Trattamento

Trascina il cursore per confrontare il risultato ottenuto

Dopo il trattamento Prima del trattamento
Implantologia

Impianto in zona estetica

Uomo 45 anni non fumatore buone condizioni di salute, buona igiene orale

Il Problema

L'elemento dentario 2.1 (incisivo centrale di sinistra) irrecuperabile. Il mantenimento dei volumi ossei e gengivali giocano un ruolo determinante ogni volta che si deve sostituire un dente perso con un impianto osteointegrato, questo è un aspetto ancor più importante in zona estetica

La Soluzione

Contestualmente all'estrazione dell'elemento dentario 2.1 è stato posizionato un impianto osteointegrato Ankylos con rigenerativa (ottobre 2024)
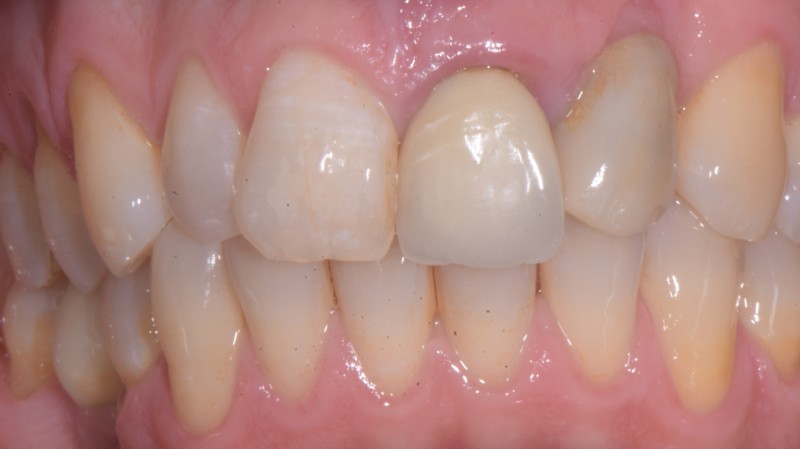
Consegna corone definitive elementi 2.1 e 2.2 in zirconio cementate con Panavia (aprile 2025)
Moncone posizionato su elemento 2.1
Il posizionamento sotto-crestale di questa tipologia di impianti è particolarmente favorevole in zona estetica negli ultimi anni ho posto sempre più attenzione alla salute dei tessuti molli ( gengive e mucose) una gengiva rosa è segnale di struttura sana, estetica e duratura. Se lo specchio dell'anima sono gli occhi quello dei denti e degli impianti è la gengiva,

  • Pianificazione con protesica e radiologica, fondamentale per ottenere una corretta distribuzione degli spazzi verticali e orizzontali

I Risultati

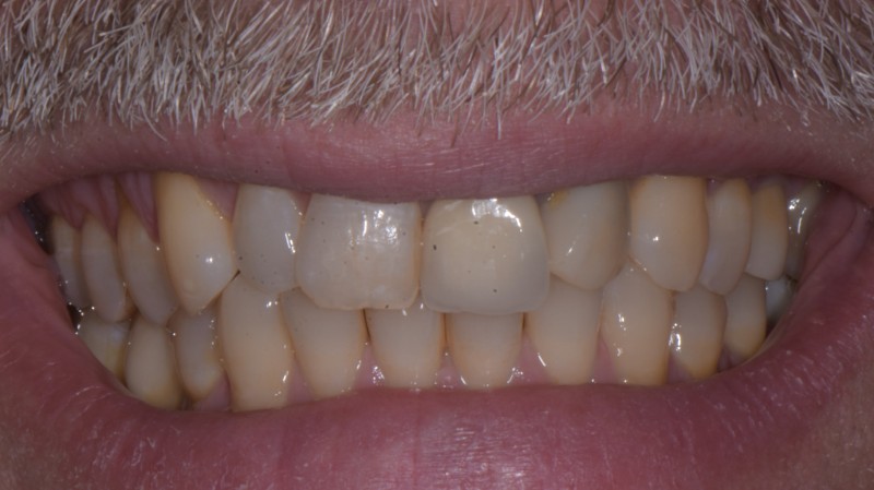
Completo recupero estetico e funzionale.

Dott. Michele Sidoti

Ha eseguito il caso ‘Impianto in zona estetica’

Dott. Michele Sidoti

Direttore sanitario

Scopri di più sul Dott. Sidoti



Soluzioni dentali definitive per problemi complessi

Da oltre trent'anni aiutiamo pazienti con situazioni difficili a ritrovare stabilità, funzionalità e sicurezza.

  • 30 anni di esperienza
  • Eccellenza clinica garantita dalla famiglia Sidoti

Prenota una visita

Compila il modulo per prenotare la tua prima visita

Inviando questo modulo acconsenti al trattamento dei tuoi dati personali, che saranno utilizzati esclusivamente per gestire la tua richiesta, in conformità con la nostra Privacy Policy.