ITA | ENG | FRA

caso trattato

Recupero protesico e funzionale di paziente fobico

confronto visivo

Prima e Dopo il Trattamento

Trascina il cursore per confrontare il risultato ottenuto

Dopo il trattamento Prima del trattamento
Protesi fissa e mobile

Recupero protesico e funzionale di paziente fobico

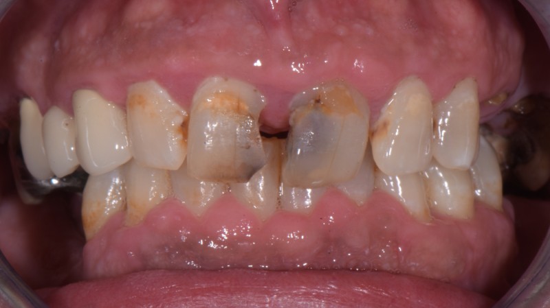
Paziente maschio 42 anni fobico numerosi denti assenti e altrettanti compromessi.

Il Problema

Il rapporto con il dentista non è stato facile in passato per questo motivo la situazione orale si è degradata nel tempo
Il primo obiettivo in questi casi è superare le barriere e la sfiducia che si è venuta a creare nel tempo.
Carenza ossea per gli impianti in posizione posteriore che comunque sono stati inseriti per permettere una masticazione fino ai quinti (secondi premolari superiori)

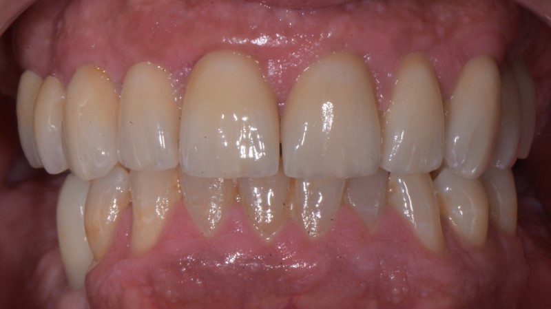
La Soluzione

Recupero conservativo dei denti recuperabili
Impianti in posizione 2.5 e 4. 5
Corone in ceramica sui denti superiori e sul 4.5
Ricostruzioni estetiche su 3.4 3.5 e 4.4

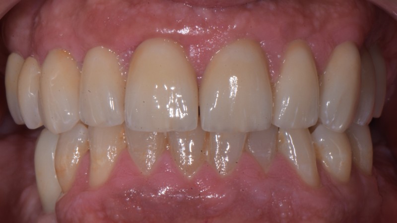
I Risultati

Paziente completamente recuperato dal punto di vista psicologico ora mantiene i risultati ottenuti con un' igiene più che soddisfacente. Son cose che fanno piacere.😊

Dott. Michele Sidoti

Ha eseguito il caso ‘Recupero protesico e funzionale di paziente fobico’

Dott. Michele Sidoti

Direttore sanitario

Scopri di più sul Dott. Sidoti



Soluzioni dentali definitive per problemi complessi

Da oltre trent'anni aiutiamo pazienti con situazioni difficili a ritrovare stabilità, funzionalità e sicurezza.

  • 30 anni di esperienza
  • Eccellenza clinica garantita dalla famiglia Sidoti

Prenota una visita

Compila il modulo per prenotare la tua prima visita

Inviando questo modulo acconsenti al trattamento dei tuoi dati personali, che saranno utilizzati esclusivamente per gestire la tua richiesta, in conformità con la nostra Privacy Policy.