ITA | ENG | FRA

caso trattato

Faccette dirette con tecnica Flow Injection

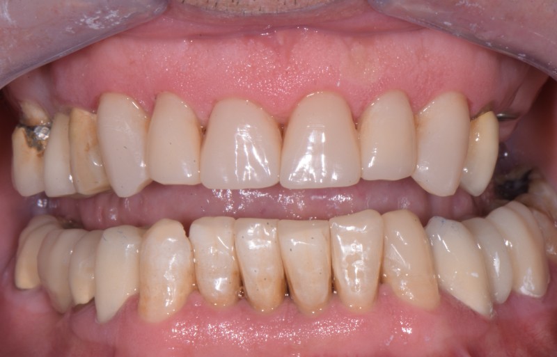
confronto visivo

Prima e Dopo il Trattamento

Trascina il cursore per confrontare il risultato ottenuto

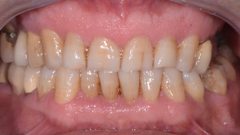
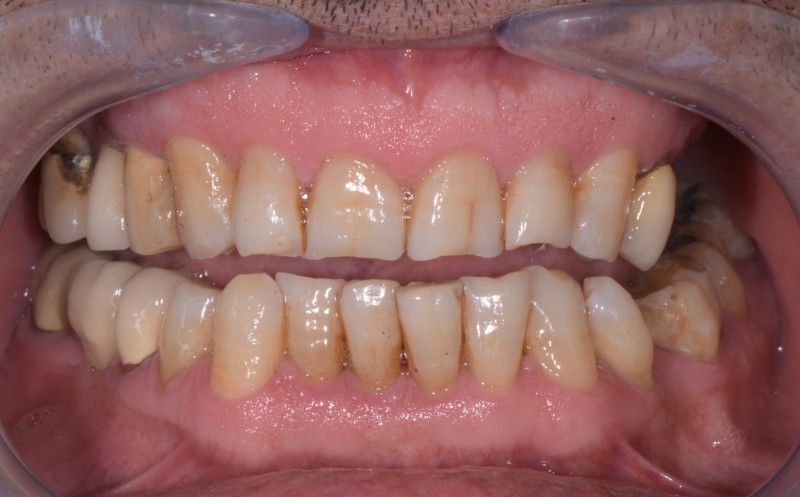
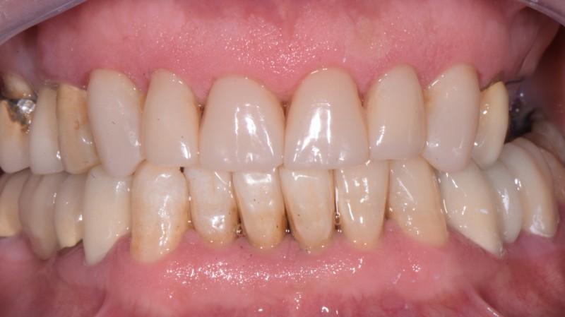
Dopo il trattamento Prima del trattamento
Odontoiatria estetica

Faccette dirette con tecnica Flow Injection

Uomo di 65 anni, lavoratore autonomo. interazione con molte persone, orari e luoghi di lavoro variabili

Il Problema

A causa della mancanza di alcuni elementi dentari posteriori e la presenza di vecchi restauri protesici rendeva necessaria una riabilitazione implanto-protesica. Oltretutto, la mancanza dei denti posteriori aveva creato un sovraccarico dei denti anteriori che presentavano diversi segni di usura e perdita di smalto, con conseguente perdita di dimensione verticale (DVO) e prggioramento dell'estetica del sorriso.

La Soluzione

Il caso è in via di risoluzione e prevede il riposizionamento di impianti nei settori posteriori e il rifacimento di alcuni ponti, per ripristinare la corretta dimensione verticale e ripristino morfologico ed estetico degli elementi dentari con faccette dirette.

  • Pianificazione digitale in 3D
  • Scansione digitale
  • Progetto implantologico
  • Progetto estetico

I Risultati

A seguito dell'inserimento di impianti e provvisori nei settori posteriori, in attesa della perfetta osteo integrazione, si è proceduto con una seduta totalmente indolore che ha permesso di ripristinare morfologicamente i denti frontali: il paziente dopo 2 ore è uscito totalmente soddisfatto del nuovo sorriso ottenuto.

Approfondimento

Il risultato estetico è stato attentamente studiato e programmato in precedenza, creando mascherine personalizzate ed utilizzando la tecnica della flow injection. Una tecnica indolore, non invasiva.

Dott. Michele Sidoti

Ha eseguito il caso ‘Faccette dirette con tecnica Flow Injection’

Dott. Michele Sidoti

Direttore sanitario

Scopri di più sul Dott. Sidoti



Soluzioni dentali definitive per problemi complessi

Da oltre trent'anni aiutiamo pazienti con situazioni difficili a ritrovare stabilità, funzionalità e sicurezza.

  • 30 anni di esperienza
  • Eccellenza clinica garantita dalla famiglia Sidoti

Prenota una visita

Compila il modulo per prenotare la tua prima visita

Inviando questo modulo acconsenti al trattamento dei tuoi dati personali, che saranno utilizzati esclusivamente per gestire la tua richiesta, in conformità con la nostra Privacy Policy.