ITA | ENG | FRA

caso trattato

Utilizzo della protesi conometrica nella gestione dell'agenesia dei laterali

confronto visivo

Prima e Dopo il Trattamento

Trascina il cursore per confrontare il risultato ottenuto

Dopo il trattamento Prima del trattamento
Implantologia

Utilizzo della protesi conometrica nella gestione dell'agenesia dei laterali

Uomo, 25 anni

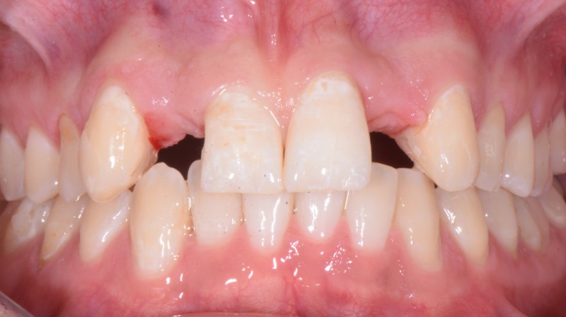
Il Problema

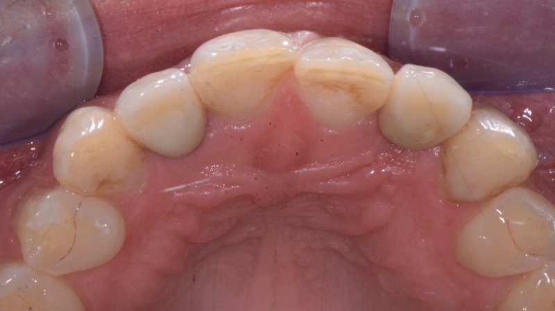
Agenesia dei laterali. Si tratta, quindi della mancanza degli incisivi laterali superiori (gli elementi dentari non si sono mai formati)

La Soluzione

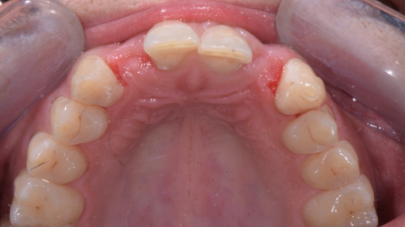
In questo caso abbiamo gestito la mancanza degli incisivi laterali superiori con un'approccio implantare in chirurgia guidata, per mantenere il massimo controllo su posizione, angolazione ed emergenza protesica.
Una sfida estetica e funzionale che richiede precisione, pianificazione e rivisitazione d'insieme

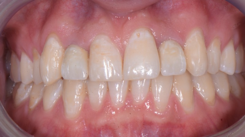
I Risultati

Il risultato finale integra perfettamente funzione ed estetica, rispettando i tessuti e valorizzando il sorriso del paziente.

Dott. Luca Cursano

Ha eseguito il caso ‘Utilizzo della protesi conometrica nella gestione dell'agenesia dei laterali’

Dott. Luca Cursano

ODONTOIATRA

Scopri di più sul Dott. Cursano



Soluzioni dentali definitive per problemi complessi

Da oltre trent'anni aiutiamo pazienti con situazioni difficili a ritrovare stabilità, funzionalità e sicurezza.

  • 30 anni di esperienza
  • Eccellenza clinica garantita dalla famiglia Sidoti

Prenota una visita

Compila il modulo per prenotare la tua prima visita

Inviando questo modulo acconsenti al trattamento dei tuoi dati personali, che saranno utilizzati esclusivamente per gestire la tua richiesta, in conformità con la nostra Privacy Policy.