ITA | ENG | FRA

caso trattato

Riabilitazione dentatura fortemente abrasa con corone e intarsi

confronto visivo

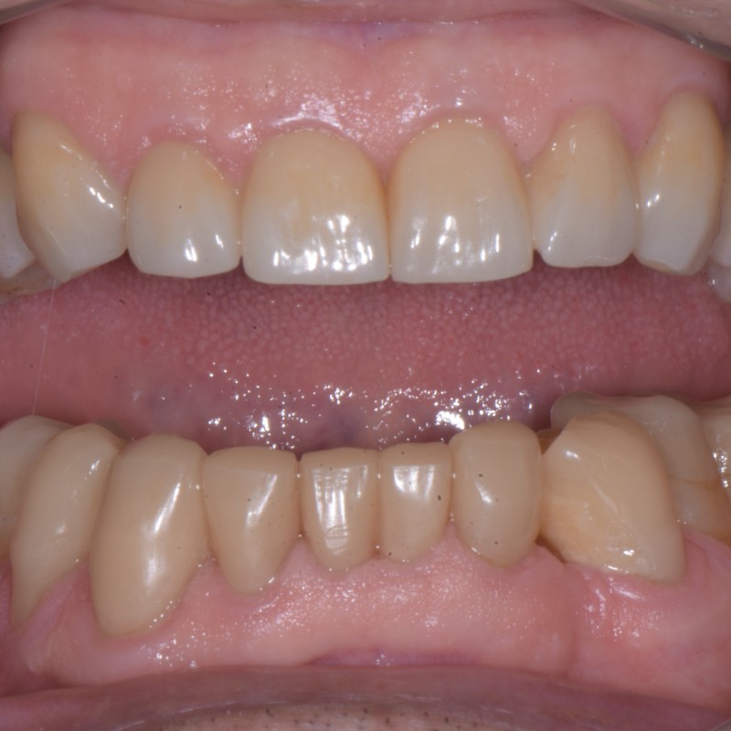
Prima e Dopo il Trattamento

Trascina il cursore per confrontare il risultato ottenuto

Dopo il trattamento Prima del trattamento
Protesi fissa e mobile

Riabilitazione dentatura fortemente abrasa con corone e intarsi

Paziente: Uomo, 76 anni | Durata trattamento: 6 mesi

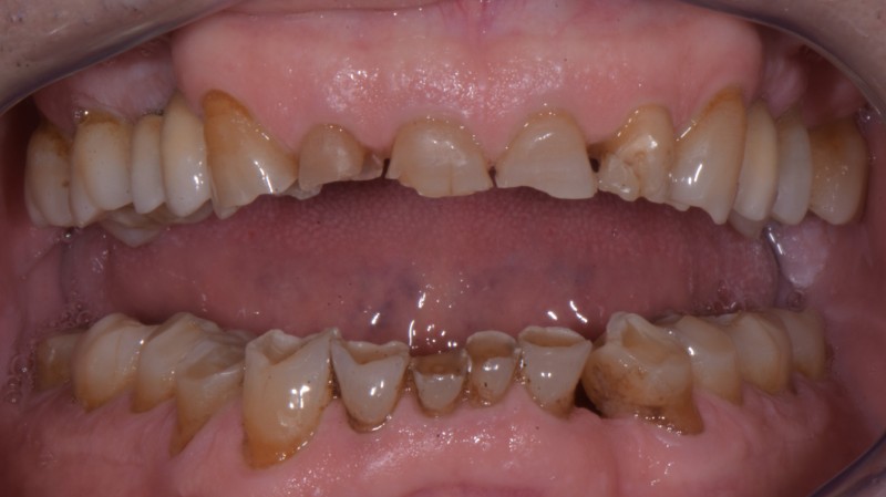
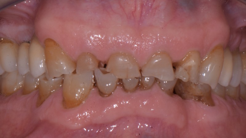
Il Problema

Paziente bruxista con sensibilità dentinale su più elementi dentali. Lo smalto dentale, è sostanza più dura del corpo umano, destinato alla masticazione era quasi completamente usurato. La distruzione degli elementi dentali accelera quando la dentina sottostante viene esposta, si associano spesso dolori di tipo pulpare e, nei casi più gravi fratture e infezioni.

La Soluzione

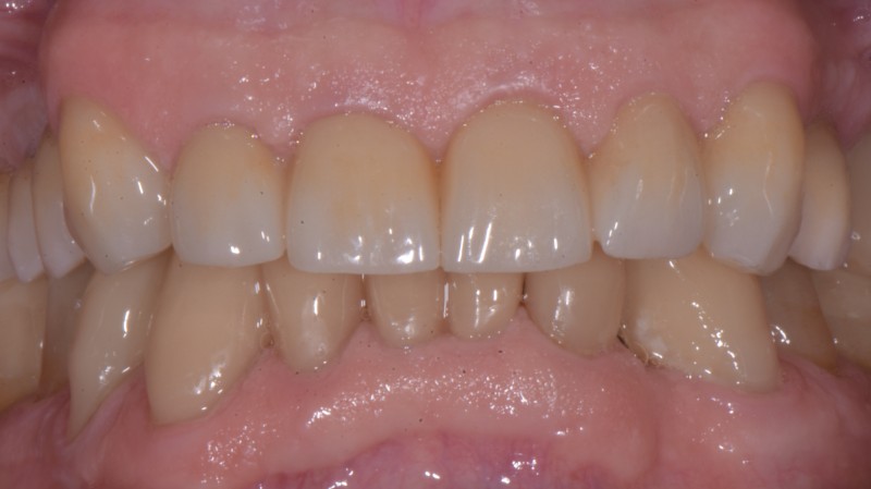
Dopo impronte digitali e progetto protesico che prevedeva l' aumento della dimensione verticale di 4 mm si è proceduto alla riabilitazione che si è conclusa con corone in ceramica, faccette, intarsi sugli elementi posteriori . Ora il paziente ha una protezione con una placca di svincolo realizzata con l'ausilio di elettromiografo di superficie.

  • Impronta digitale e valutazione clinica
  • Ripristino DVO con Provvisori, faccette e intarsi
  • Finalizzazione con corone in ceramica
  • Placca di svincolo

I Risultati

Dopo 6 mesi di trattamento, il paziente ha ottenuto una funzionalità masticatoria completa, stabilità definitiva e un sorriso naturale. La protesi fissa garantisce comfort quotidiano e risultati estetici eccellenti, risolvendo definitivamente il problema che la affliggeva da anni.

Dott. Michele Sidoti

Ha eseguito il caso ‘Riabilitazione dentatura fortemente abrasa con corone e intarsi’

Dott. Michele Sidoti

Direttore sanitario

Scopri di più sul Dott. Sidoti



Soluzioni dentali definitive per problemi complessi

Da oltre trent'anni aiutiamo pazienti con situazioni difficili a ritrovare stabilità, funzionalità e sicurezza.

  • 30 anni di esperienza
  • Eccellenza clinica garantita dalla famiglia Sidoti

Prenota una visita

Compila il modulo per prenotare la tua prima visita

Inviando questo modulo acconsenti al trattamento dei tuoi dati personali, che saranno utilizzati esclusivamente per gestire la tua richiesta, in conformità con la nostra Privacy Policy.