ITA | ENG | FRA

caso trattato

Rifacimento corone non congrue

confronto visivo

Prima e Dopo il Trattamento

Trascina il cursore per confrontare il risultato ottenuto

Dopo il trattamento Prima del trattamento
Protesi fissa e mobile

Rifacimento corone non congrue

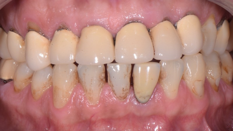
Uomo 53 anni fumatore

Il Problema

Il paziente insoddisfatto dell'estetica del proprio sorriso presentava tutti i denti dell'arcata superiore incapsulati,
le corone molto datate non erano di suo gradimento esteticamente, ma, problema più serio: vi erano numerose infiltrazioni, questo crea decalcificazioni alle radici che possono portare a carie con conseguente perdita dei denti.
I tessuti gengivali inoltre si presentavano arrossati.
Non ultimo la chiusura del paziente non era corretta.

La Soluzione

Si procede con bonifica attraverso igiene dentale, rimozione atraumatica dei vecchi restauri, ricostruzioni degli elementi che presentavano carie e il posizionamento di un provvisorio che restituisse estetica e condizionasse i tessuti molli (gengive) per ottenere una linea del sorriso sana.
Infine posizionamento di corone definitive.

  • Colloquio con il paziente per raccogliere le esigenze e le aspettative
  • Pianificazione accurata con scansioni 3D e software dedicati e rx
  • Bonifica delle gengive e dei denti
  • Posizionamento corone prima provvisorie poi definitive

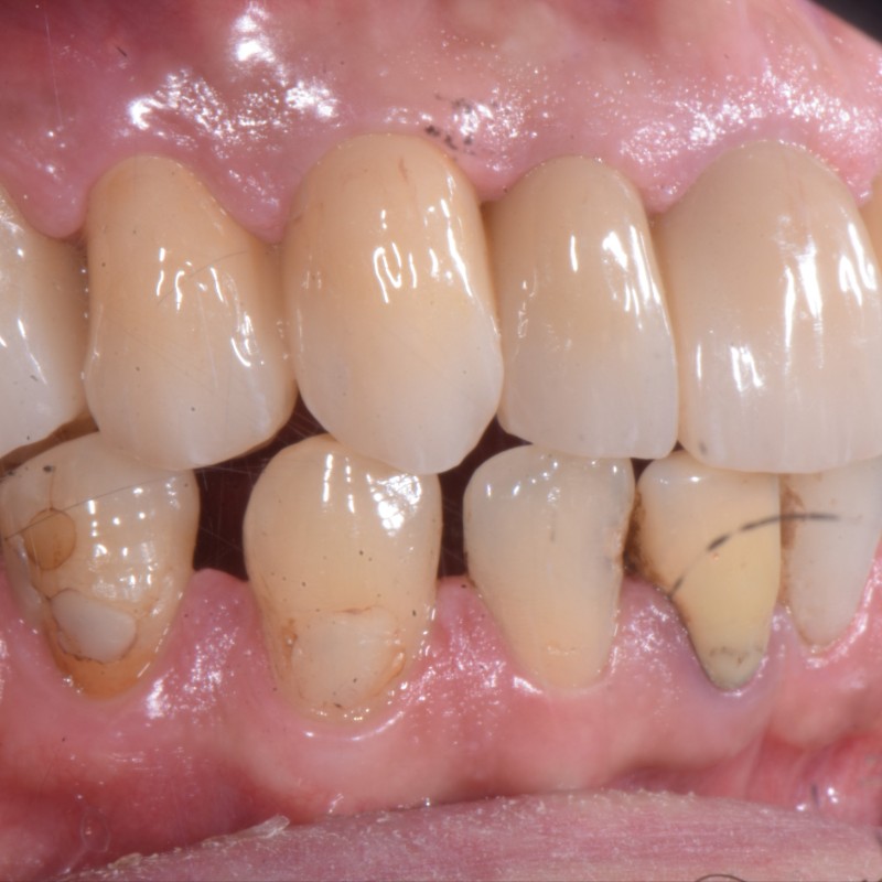
I Risultati

Completa restituzione di funzionalità ed estetica
Paziente pienamente soddisfatto, gengive rosee, linea del sorriso armoniosa e funzionalità ottimizzata.

Approfondimento

Se gli occhi sono lo specchio dell'anima cosi sono le gengive per i denti: una gengiva sana previene danni al dente, il primo passo è sempre quello di restituire salute alle gengive, operare sui denti con rispetto dei tessuti bonificando le carie scegliendo materiali di alto valore, questi due passaggi sono il primo passo per un'ottima estetica e per una lunga durata nel tempo.

Dott. Michele Sidoti

Ha eseguito il caso ‘Rifacimento corone non congrue’

Dott. Michele Sidoti

Direttore sanitario

Scopri di più sul Dott. Sidoti



Soluzioni dentali definitive per problemi complessi

Da oltre trent'anni aiutiamo pazienti con situazioni difficili a ritrovare stabilità, funzionalità e sicurezza.

  • 30 anni di esperienza
  • Eccellenza clinica garantita dalla famiglia Sidoti

Prenota una visita

Compila il modulo per prenotare la tua prima visita

Inviando questo modulo acconsenti al trattamento dei tuoi dati personali, che saranno utilizzati esclusivamente per gestire la tua richiesta, in conformità con la nostra Privacy Policy.